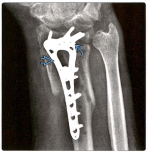
1. Косая рентгенограмма показывает: фиксированная ладонной пластинка, винты и имплантаты вышли из строя.

2. Реконструированная КТ показала: Т-образная пластина на ладонной стороне, стабилизирующая заживление перелома дистального отдела лучевой кости. Спицы Киршнера защищают перелом шиловидного отростка локтевой кости, но отмечают увеличение ладьевидно-полулунной перегородки и нижней щели лучелоктевого сустава, что указывает на повреждение связок.

3.(Снимок слева) Задне-передняя рентгенограмма, сделанная сразу после репозиции перелома, показывает, что четыре спицы К пронизывают шиловидный отросток лучевой кости, а фрагменты перелома близки к анатомической репозиции. Дополнительная внешняя фиксация, вспомогательная фиксация.
(Фото справа) Заднепередняя рентгенограмма того же пациента через 2 недели показала смещение спицы К и неспособность редукции перелома, 2 спицы К пролапсировались, а 2 спицы К были смещены проксимально.

4. На переднезадней рентгенограмме видна дорсальная пластина, используемая для стабилизации фрагмента полулунной ямки при сильно оскольчатом переломе дистального отдела лучевой кости. Перелом дистального отдела локтевой кости был деформирован, а после заживления перелома ДРЮС значительно деформировался и увеличился.

5. (Фото слева) Боковая рентгенограмма после установки ладонной пластины при переломе дистального отдела лучевой кости показывает, что 2 дистальных винта доходят до лучезапястного сустава. Нормальный наклон ладоней до сих пор не восстановлен.
(Справа) Перелом зажил через 6 месяцев, но неправильно расположенный винт задел и изменил форму проксимального отдела ладьевидной кости, возможно, повредив ладьевидно-полулунную связку. Полулунная кость также может быть поражена и повреждена.

6. (Снимок слева) КТ поперечного сечения показывает винты, которые фиксируют ладонной пластинку. Латеральный винт воздействует непосредственно на сухожилие лучевого разгибателя запястья.
(Изображение справа) Сагиттальная КТ показывает перелом дистального отдела лучевой кости, который был успешно залечен путем открытой репозиции и внутренней фиксации. Больной испытывает боль при разгибании запястья. Проксимальный бикортикальный винт воздействует непосредственно на мышцы-разгибатели.

7. (Фото слева) КТ с корональной реконструкцией показывает оссификацию межкостной перепонки после ORIF и перекрестного спондилодеза при лечении оскольчатых внутрисуставных переломов дистального отдела лучевой кости и переломов диафиза локтевой кости. Виден кончик винта.
(Справа) МРТ с корональным градиентным эхо показывает разрыв TFCC и ладьевидно-полулунной связки у этого пациента.
