Оптимальное лечение переломов дистального отдела плечевой кости технически сложно и противоречиво. Одним из методов хирургического лечения является наложение реконструктивных пластин для фиксации:

Латеральный доступ обычно используется при переломе дистальной трети кости.
Однако остов средней и дистальной трети плечевой кости повернут внутрь на 20–30°. Поэтому, когда стальная пластина размещается на переднелатеральной стороне, стальной пластине необходимо придать такую форму, чтобы она могла прилегать. лучше.
Минимально инвазивная внутренняя фиксация пластиной (МИПО) сохраняет кровоснабжение зоны перелома и позволяет избежать осложнений после установки гвоздя. МИПО стержня плечевой кости может быть выполнен из переднего, заднего или латерального доступа. Однако ограничением этого подхода является то, что фиксация нестабильна, когда при переломе дистального отдела плечевой кости фиксируется лишь небольшой объем кости. Обязательным условием для выполнения МИПО из переднего доступа является сохранение дистального костного фрагмента венечной ямки длиной не менее 6 см.
Пластина системы внутренней фиксации проксимального отдела плечевой кости (PHILOS) является широко используемым имплантатом для проксимальной фиксации плечевой кости.

Поскольку форма пластины соответствует выступу дистального метафиза плечевой кости (c) и использованию разнонаправленных стопорных винтов (d), этот имплантат можно использовать в качестве альтернативы для фиксации дистальных диафизарных переломов плечевой кости.
Передний MIPO — безопасный и эффективный метод лечения дистальных переломов диафиза плечевой кости.
Хирургические методы:
Процедура начинается с дистального разреза кожи длиной 4–6 см на 2,5 см выше локтевой складки. После проверки латерального края двуглавой мышцы плеча (а на рисунке ниже) растяните двуглавую мышцу плеча внутрь, чтобы обнажить плечевую мышцу. Идентифицирован мышечно-кожный нерв, расположенный на переднемедиальной поверхности плечевой мышцы. После этого мышцу разделяют продольно, обнажая дистальный фрагмент плечевой кости (внизу б). Проксимальный разрез кожи делают между медиальным краем дельтовидной мышцы и латеральным краем двуглавой мышцы (с) и рассекают непосредственно до переднего гребня проксимального отдела плечевой кости. Создайте костные туннели. Соответствующие винты стальной пластины зафиксированы.

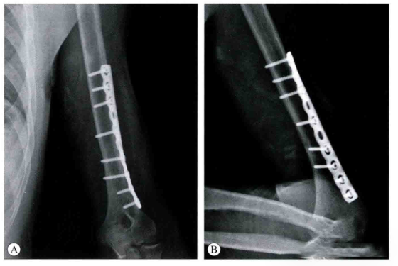
Послеоперационные рентгеноскопические снимки:
Дело 1:
Дело 2:

Отказ от ответственности:
эта статья взята из профессиональных журналов и книг и отредактирована Orthopedic Garden. Если у вас есть какие-либо проблемы с авторскими правами, пожалуйста, свяжитесь с нами.
Предыдущий: Classic Reappearance - Подробное объяснение этапов и методов минимально инвазивного пластинчатого ле
Следующая страница: Больше не надо