Молотчатый палец возникает в результате сгибания или переразгибания вытянутой дистальной фаланги с отрывом кости в месте прикрепления дистального сухожилия или без него.
В соответствии с различной степенью отрыва дистального отдела суставов пальцев классификация (рисунок ниже) основана на результатах классификации Wehbé и Schneider: на подтип A приходится 3%, на подтип B — 95,5%, а на подтип C — 1,5%.

Молотчатые пальцы классифицируют на различные типы в зависимости от пораженной суставной поверхности (подтип А: <1/3; подтип В: 1/3-2/3; подтип С: > 2/3) и наличия подвывиха (тип I1: нет Ладонный подвывих, тип II2: ладонный подвывих) и перелом пластинки роста (тип III).

Вероятность появления висячих пальцев на каждом пальце
В данной статье представлен хирургический метод закрытой фиксации с использованием блокирующих спиц К.
Навыки введения хирургической иглы
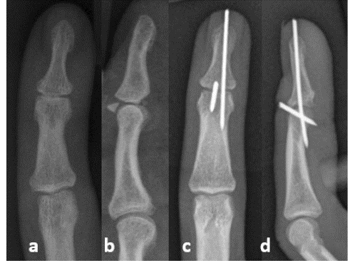
При нахождении дистального межфалангового сустава в положении сгибания в дистальную головку средней фаланги вводят спицу Киршнера диаметром 1,0 мм и слегка переразгибают дистальную фалангу для прикрепления костного фрагмента к основанию фаланги. Имплантированные спицы К служат опорой для костных фрагментов. Затем просверлите вторую спицу К через дистальный межфаланговый сустав для фиксации.

Через 6 недель имплантат удаляют и проводят реабилитационные упражнения.
Отказ от ответственности: эта статья взята из профессиональных журналов и книг и отредактирована Orthopedic Garden. Если у вас есть какие-либо проблемы с авторскими правами, пожалуйста, свяжитесь с нами.