Переломы плато большеберцовой кости являются результатом сильного вальгусного напряжения в сочетании с осевой нагрузкой. Литературные статистические данные показывают, что от 55% до 70% переломов плато большеберцовой кости представляют собой переломы латерального мыщелка большеберцовой кости. В этот момент мыщелок бедренной кости оказывает сдвиговое и сжимающее напряжение на подлежащее плато большеберцовой кости, что может привести к расщепленным переломам, коллапс-переломам или к тому и другому. В литературе существуют разные мнения о том, является ли варусный стресс причиной переломов медиального мыщелка большеберцовой кости. Перелом медиального мыщелка большеберцовой кости, вызванный варусным напряжением.
В настоящее время, с увеличением использования МРТ-исследований, было обнаружено, что у пациентов с переломами плато большеберцовой кости частота повреждений связок выше, чем считалось ранее, и они часто сочетаются с повреждениями мениска и мягких тканей. Сочетанная травма мениска составляет примерно 67% переломов плато большеберцовой кости. Наиболее частыми причинами травм являются дорожно-транспортные происшествия, столкновения автомобилей, падения с высоты, спортивные травмы.У пожилых людей развивается остеопороз, а переломы плато большеберцовой кости могут возникнуть даже при незначительном внешнем воздействии.
Для классификации типов переломов используется система классификации Шацкера:
Тип I:
Простой расщепленный перелом (рис. 1А): типичный клиновидный неоскольчатый перелом, фрагмент которого расщепляется и смещается латерально и вниз. Этот тип перелома часто встречается у молодых пациентов без остеопороза. При смещении для его фиксации можно использовать 2 поперечных спонгиозных винта.
Тип II:
Расщепленный и компрессионный перелом (рис. 1Б): латеральный клиновидный фрагмент кости расщепляется и отделяется, а поверхность сустава сжимается вниз и погружается в метафиз. Этот тип перелома часто встречается у пациентов пожилого возраста. Если компрессия превышает 5–8 мм или коленный сустав нестабильен, следует выполнить открытую репозицию. На метафиз следует поместить «целый» костный трансплантат для поднятия сжатой платформы и спонгиозный следует использовать винты и латеральную кору.Опорная стальная пластина зафиксирована.
Тип III:
Простой центральный компрессионный перелом (рис. 1C): простой компрессионный перелом суставной поверхности погружается в платформу, а латеральный кортикальный слой не поврежден. Это чаще встречается у пациентов с остеопорозом. Если компрессия сильная или подтверждена нестабильность сустава, следует использовать костную пластику для смягчения сжатой суставной поверхности и использовать опорные пластины для фиксации латерального кортикального слоя кости.
Тип IV:
Перелом медиального мыщелка (рис. 1D). Этот тип перелома может представлять собой простой клиновидный расщепленный, оскольчатый или компрессионный перелом медиального мыщелка, часто с вовлечением ости большеберцовой кости. Этот тип перелома имеет тенденцию к варусному отклонению под углом, поэтому следует выполнять открытую репозицию и использовать субхондральную фиксацию костным рафтом для уменьшения повреждения суставной поверхности с фиксацией стальной пластиной или без нее.
Тип В:
Двумыщелковый перелом (рис. 1E): расщепление плато большеберцовой кости с обеих сторон. Характеризуется тем, что метафиз и диафиз еще сохраняют свою непрерывность. Оба мыщелка можно фиксировать с помощью опорных пластин и спонгиозных винтов, чтобы избежать фиксации более крупными встроенными предметами. Мур, Пацакис и Харви провели ретроспективное исследование 988 пациентов с переломами плато большеберцовой кости, из которых у 296 были двумыщелковые переломы. Среди них в 95 случаях была выполнена открытая репозиция и внутренняя фиксация, и только в 11 случаях была выполнена как медиальная, так и латеральная фиксация пластиной. Раскрытие раны или инфицирование наблюдались в 9 из 11 случаев (82%). Кроме того, установлено, что 23% V-образных двумыщелковых переломов были инфицированы. Используйте небольшую противоскользящую стальную пластину, чтобы зафиксировать кончик перелома с меньшим расслоением мягких тканей.
Тип VI:
Платформенные переломы с разделением метафиза и диафиза (рис. 1F). Помимо одномыщелковых или двумыщелковых и суставных поверхностных переломов, встречаются также поперечные или косые переломы проксимального отдела большеберцовой кости. Из-за разделения диафиза и метафиза этот тип перелома не пригоден для тракционного лечения.Большинство переломов фиксируют опорными пластинами и спонгиозными винтами. Если оба мыщелка сломаны, необходима двусторонняя фиксация. Недавно некоторые ученые выступили за использование стальных штифтов и проволоки для фиксации этих сложных переломов.

Рисунок 1 Классификация переломов А. Тип I, простой расщепленный перелом, Б. Тип II, расщепленный перелом в сочетании с коллапсом, костная пластика в метафизарную пустоту для поднятия костного фрагмента для достижения репозиции и опорная стальная пластина для фиксации латеральной клиновидной формы костный фрагмент: тип C. III, простой центральный коллапсный перелом без наружного клиновидного костного фрагмента, при этом коллапс может быть спереди, сзади или вовлекать всю платформу. После разрушения костного трансплантата лучше всего добавить опорную стальную пластину для его защиты.Тип D.N, клиновидное расщепление медиального мыщелка, модельное расщепление медиального мыщелка (тип А, как показано на рисунке) или раздавливающий коллапс (тип B, на рисунке не показан), чаще встречается у пожилых пациентов с остеопорозом): тип E, V, плато большеберцовой кости расщеплено с обеих сторон. Обратите внимание на непрерывность между эпифизом и диафизом и поддерживайте его. Для двусторонней фиксации необходимо использовать стальные пластины Тип F, V, перелом характеризуется сухим Эпифиз отделен от диафиза, тип мыщелкового перелома неизвестен Могут встречаться все типы Проксимальный отдел большеберцовой кости следует фиксировать двусторонним опорные пластины.
Hohl и Moore классифицировали переломы проксимальной суставной поверхности большеберцовой кости с вывихом (рис. 2). Помимо повреждения связок, этот тип перелома часто приводит к повреждению мениска и, как правило, является непоправимым. Кроме того, оно также сопровождается более высоким повреждением сосудов и нервов, которое увеличивается с 2% при типе I до 50% при типе V, в среднем на 15%, что аналогично частоте повреждения сосудов и нервов при типичном коленном суставе. дислокации.

Рисунок 2. Перелом-вывих проксимального отдела большеберцовой кости, тип I по классификации Холя и Мура — расщепленный перелом коронковой части:
На его долю приходится 37% переломов и вывихов плато большеберцовой кости. Этот тип перелома затрагивает медиальную поверхность плато большеберцовой кости, что заметно на боковой проекции. На косом фронтальном поперечном срезе можно увидеть линию перелома по диагонали под углом 45° к медиальному плато. Перелом может распространяться наружу, вызывая отрывные переломы шиловидного отростка малоберцовой кости, места прикрепления крестообразной связки и бугорка Герди. Половина переломов этого типа стабильны при осмотре под нагрузкой. Ожидая эффективности консервативного лечения, мы часто используйте закрытую репозицию и чрескожную фиксацию винтами, которые могут улучшить репозицию и обеспечить раннее движение пораженной конечности под защитой гипсовой повязки, а также обеспечить защитные упражнения с нагрузкой на ногу в течение 8–10 недель. При необходимости открытой репозиции фрагменты перелома можно редуцировать в разгибании и фиксировать межфрагментарными винтами.У больных с повреждениями связок пластику можно выполнять по ходу разрыва капсулы сустава.
Тип II – тотальный перелом мыщелка:
Этот тип перелома-вывиха может затрагивать медиальное или латеральное плато большеберцовой кости, а линия перелома проходит ниже межмыщелковой ости до контралатерального отдела сустава, что отличается от переломов IV типа (рис. 3). Среди них 50% переломов связаны с повреждением контрлатеральной коллатеральной связки, что приводит к перелому или вывиху проксимального отдела малоберцовой кости. На этот тип приходится 25% всех переломов и вывихов, 12% из которых сопровождаются повреждением сосудов и нервов. Чтобы определить, существует ли потенциальное повреждение связок, необходимо провести стресс-тестирование. Стабильные переломы можно лечить с помощью гипсовых брекетов, тщательного наблюдения и отсроченной нагрузки. При нестабильных или плохо репонируемых переломах после закрытой или открытой репозиции можно выполнить межфрагментарную винтовую фиксацию, восстановление поврежденной связки, фиксацию трубчатыми скобками и отсроченную нагрузку на ногу.
Тип III – краевой отрывной перелом:
На этот вид травм приходится 16% всех переломовывиховых повреждений, почти все из которых возникают на латеральном плато, проявляясь отрывными переломами места прикрепления капсулы сустава, бугорка Герди или плато большеберцовой кости, часто сопровождающиеся разрывом крестообразной связки. Повреждения мениска встречаются редко, но в 30% случаев сопровождаются повреждением сосудов и нервов, причем почти все переломы III типа являются нестабильными переломами. Для фиксации суставной губы и восстановления оторванного подвздошно-большеберцового бандажа и коллатеральной связки необходимы винты латерального доступа. В то же время необходимо восстанавливать компрессионные переломы края крестообразной связки IV типа: этот тип травмы составляет 12% всех переломов. вывиховые травмы, почти все нестабильны. Эта травма приводит к отрыву или разрыву комплекса контрлатеральных коллатеральных связок и большинства (примерно 75%) крестообразных связок, подвывиху большеберцовой кости и сдавлению передней, задней или «средней» суставной губы мыщелком бедренной кости. Стабильные травмы можно обездвижить гипсовой повязкой до заживления связки. При необходимости хирургического вмешательства применяют парапателлярный доступ, мелкие костные фрагменты очищают, более крупные костные фрагменты приподнимают и фиксируют, восстанавливают крестообразную связку и противоположную коллатеральную связку. Характеристика повреждений связок и условия их восстановления определяют подвижность суставов после операции.
Тип V – четырехдольный перелом:
Составляя 10% всех переломовывиховых повреждений, почти все они нестабильны. 50% из них сопровождаются поражением сосудов и нервов, а более 1/3 сочетаются с поражением подколенной артерии и малоберцового нерва. Коллатеральный связочный комплекс разрывается с двух сторон в результате двумыщелкового перелома, и стабильность, обеспечиваемая крестообразными связками, теряется, поскольку межмыщелковое возвышение превратилось в отдельный кусок кости. Хотя был предложен бимыщелковый подход, некоторые ученые рекомендуют фиксацию пластиной на более сильно раздробленной стороне и фиксацию стягивающими винтами на относительно неповрежденной стороне. Поскольку фиксация бимыщелковой пластиной требует обширного воздействия и часто вызывает инфекцию и расхождение ран, Маст предложил метод латеральной фиксации стальной пластиной и медиальной временной внешней фиксации. Для фиксации коленного сустава в нейтральном положении использовали ограниченную открытую репозицию, чрескожный игольчатый треугольный внешний фиксатор или внешний фиксатор 1лизарова. При двумыщелковых переломах Шацкера V-типа особое внимание следует уделять мягким тканям.Движения нельзя выполнять до заживления кожи.Время нагрузки определяется в соответствии со способом фиксации. Пациенты, зафиксированные аппаратом внешней фиксации Илизарова, могут переносить вес, как только смогут его переносить.

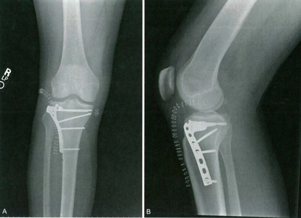
Рисунок 3. Перелом и вывих плато большеберцовой кости. A. Перелом и вывих плато большеберцовой кости II типа, фиксируемый стальной пластиной и винтами. B. Внутренняя фиксация поддерживающей пластиной и винтами. Классификация Шацкера является одним из наиболее широко используемых методов классификации в клинической работе. Исследования Рао Хайцзюня и др. показали, что послеоперационные осложнения у пациентов с переломами плато большеберцовой кости различных классификаций Шацкера в основном связаны с недостаточной оценкой степени измельчения, местоположения и направления перелома, что приводит к неправильному хирургическому подходу и фактическому выбору метода. что увеличивает редукцию переломов и инфицирование, некроз кожи и другие осложнения, очевидной связи с классификацией Шацкера нет, что согласуется с результатами этого исследования. Переломы плато большеберцовой кости обычно возникают в результате высокоэнергетических травм. Пациенты часто страдают от повреждения тканей. Область вокруг коленного сустава представляет собой область со слабым кровоснабжением и покрытием мягких тканей. Суставы и сухожилия покрывают только подкожная клетчатка и кожа. Неправильное время Операция может вызвать у пациентов сильный отек, который может привести к некрозу связок и сухожилий, кожной инфекции и некрозу.
Отказ от ответственности: эта статья взята из профессиональных журналов и книг и отредактирована Orthopedic Garden. Если у вас есть какие-либо проблемы с авторскими правами, пожалуйста, свяжитесь с нами.