Телефон: +8618018251756
Почта:
[email protected]
Обратная связь
x
Главная
O нас
Продукция
Система имплантатов позвоночника
Педикулярные винты
Цервикальная пластина
Клетка Fusion
Интрамедуллярная система гвоздей
Плечевой интрамедуллярный стержень
Интрамедуллярная система гвоздей большеберцовой кости
Эластичный интрамедуллярный стержень
Бедренная интрамедуллярная система гвоздей
Система запирающих пластин
Мини запорная пластина
Фиксирующая пластина для малых фрагментов
Блокирующая пластина для крупных фрагментов
травматические винты
Медицинские электроинструменты
Дрель и пила
Маленькая дрель и пила
Челюстно-лицевые имплантаты
Система челюстно-лицевой внутренней фиксации
Нейрохирургическая система восстановления и реконструкции
Вет
Новости
Обратная связь
Контакты
O нас
Продукция
Система имплантатов позвоночника
Интрамедуллярная система гвоздей
Система запирающих пластин
Медицинские электроинструменты
Челюстно-лицевые имплантаты
Вет
Новости
Обратная связь
Контакты
Copyright © CHANGZHOU XC MEDICO TECHNOLOGY CO., LTD
Новости
Главная
>>
Новости
2024-03-29
Новые возможности лечения вывиха акромиально-ключичного сустава — три метода внутренней фиксации
Вывих акромиально-ключичного сустава - одна из наиболее частых травм плеча. Чаще встречается вследствие прямого наси···
узнать больше
2024-03-23
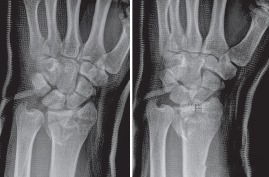
«Золотой стандарт» хирургии: внутренняя фиксация ладонной блокирующей пластиной подхода Генри для ле
Перелом дистального отдела лучевой кости является наиболее частым переломом верхней конечности, на его долю приходит···
узнать больше
2024-03-08
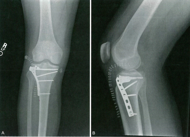
Классификация переломов плато большеберцовой кости по Шацкеру и Холь-Муру
Переломы плато большеберцовой кости являются результатом сильного вальгусного напряжения в сочетании с осевой нагруз···
узнать больше
2024-01-08
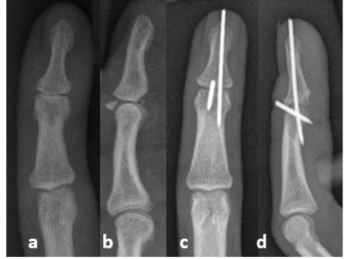
Хирургические методы лечения молоткообразного пальца с непроходимостью и фиксацией спицами Киршнера
Молотчатый палец возникает в результате сгибания или переразгибания вытянутой дистальной фаланги с отрывом кости в м···
узнать больше
2023-12-28
Минимально инвазивный остеосинтез пластинами при переломах средней части ключицы – непрямая репозици
В настоящее время традиционными хирургическими методами лечения переломов средней диафиза ключицы со смещением являю···
узнать больше
2023-12-08
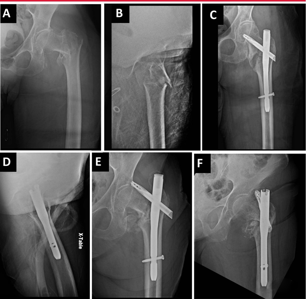
Интрамедуллярное лечение межвертельного перелома бедренной кости – 8 аспектов оптимизации интрамедул
Межвертельные переломы являются распространенной ортопедической травмой, которая влечет за собой значительную заболе···
узнать больше
Первое
Предыдущий
1
2
3
4
Следующий
Конец
Отправить